
Not everyone knows what arthritis is, so people are confused about treatments and don’t understand the diagnostic principles of pathology.Arthritis is a serious malnutritional violation that can cause lesions in the cartilage tissue in the inner cavity of the joint.The complexity of treatment is related to the irreversibility of the process, and the complete treatment of the modern medical framework cannot be achieved, but the severity of symptoms can be reduced and the progress of pathology can be slowed down.With proper treatment, a person continues to use his usual lifestyle for a long time.
What is arthritis?
Again, for diseased joints, it is a joint disease that causes limiting movement and pain amplitude, which is simpler.In the first stage of the injury, there is no manifestation, the severity is mild and washed away.Gradually, pathological progression is facilitated by age-related physical changes, stress, injury, etc.According to statistics, about 80% of the 60-year-old population is due to the age of joints.
The joints act for a long time, initially affecting only the clear cartilage, and then spreading to the bones, involving the synovial shell, muscles and the entire joint capsule.In the first or early stages of arthritis, the lesions show slightly: pain, swelling, and redness of the skin after hard work.The peak in the morning dropped due to the ignorance of uncomfortable sensations, joint deformation, inflammation, and severe pain.The disease is characterized by the loss of pain after joint development.Without treatment, a person will completely lose the mobility of the joints.

Arthritis has major and minor forms.Pseudoarthropathy (new automation) is also very different - not many people know what it is because it forms less frequently than other varieties.Neoarthritis is a pseudo-joint, so cartilage tissue increases in unusual places where damage is acquired.It is difficult to treat surgically.
Pathology exists due to regenerative function, immunity or mechanical damage.It becomes thinner for various reasons of cartilage.Under normal circumstances, cartilage fabrics will receive enough nutrients to recover, but the fabric does not have time to regenerate due to excessive physical fatigue or due to violation of metabolic processes.In the first stage, joint mobility remains.Given what joint is a definition, it is worth adding pathological development in more detail.
Joint development mechanism, type
According to a similar scheme, many joint variants develop:
- The main lesions affect the hyacinth cartilage.In the case of circulatory diseases, pathological deterioration occurs.This is the first step or cause of arthritis.
- Hyaluronic coating pathology.Thinning of cartilage leads to substituting its pathological tissue - bone structure.
- Abnormal growth occurs on cartilage-bone plants.
- Overload invading healthy cartilage areas due to the natural anatomy of the cartilage and bones.Untreated joint tissue destruction is evolving and leading to disability.
When the degree of disease increases, the pathological process will still intensify.Finally, all the clear cartilage is destroyed.
The final degree of the disease leads to:
- participate in the pathological process of bones below and below the surface of the cartilage;
- Stimulation of joint shells limits mobility, resulting in 2 degrees of disability;
- Increased capsule density;
- Reduce gaps in joint gaps, which become apparent in the picture.The stage of violation is determined by a diagnostic terminologist.The patient feels complex or is unable to completely straighten and bend the limb.
- The joints are deformed, and the cartilage obtains irregular shapes, causing curvature;
- The patient's condition worsens due to complete damage to the joints.
Joint stage
There are 3 stages of development in combined diseases:

- 1 degree.Morphological barriers have begun, but are not yet noticeable.Pathology mainly affects the condition of synovial fluid, which worsens the cartilage tissue, thereby reducing the strength of the cartilage.The load on the joint can cause inflammation and pain.
- Stage 2.Due to insufficient supply, the necessary cartridges are damaged, forming bone growth on the surface of the cartilage.Pain gains a more obvious feature, exacerbates after a long period of rest, and is eliminated by small-scale physical labor.Pain accompanied by inflammation.The muscles are stretched, resulting in weaker motor function or average impairment.
- 3 degrees.Usually there is pain, and it is difficult to move the limbs due to changes in joints.The lesions are widespread and the appearance of becoming naked is obvious.Deformation of the joint site occurs, and the affected area expands and turns red.The limb axis is disturbed, which leads to the complexity of the movement.Pathological changes can cause shortening of ligaments.Transitional and State parties emerged.The adjacent muscles are shortened or stretched, and the contraction function is weakened.
Causes and risk factors that lead to the development of arthritis
The causes of joint articulation depend on the pathological form.Joint deformities in elbow, ankle and shoulder arthritis sometimes occur without obvious causes, and they can be detected by a doctor, which is a rheumatologist.If the problem does not precede visible pathology, it is called a disease.The secondary form of violation is primarily diagnosed, and it may cause various states.
The main reasons for development:
- Mechanical damage: dislocation, cracks, stretching, meniscus injury;
- In immune work, many endocrine diseases associated with failures;
- Metabolic pathology;
- dysplasia (congenital abnormalities in joint tissue);
- joint inflammation;
- Pathology leads to high mobility of joints and weakened ligaments.
Patients with arthritis often experience diseases due to susceptibility factors:
- age-related changes;
- Lightweight and adds BMI.High load on the joint can cause rapid joint wear;
- Lack of beneficial substances;
- Too much load on the joints.The reason is training, sports, hard physical work;
- Difficult working conditions or exercise methods are incorrect.If there is a genetic tendency for genetic damage, joint injury or similar disease, it is important to adhere to a special training program to avoid trauma and difficult exercise;
- Postoperative recovery or transport composite operations are associated with resection of large amounts of affected fabrics.This state negatively affects the stability and strength of the cartilage, on which the load should be minimized.
- In patients with relatives with the same pathology, genetic trends, arthritis is often diagnosed.
- Women have a postmenopausal stage of about 50 years, which is associated with changes in the endocrine system.
- destructive effects of toxins;
- The environmental conditions in the residential area are not good;
- Frequent damage to joints and sometimes no microcracks appear for a long time;
- Low temperature;
- Pathology of lumbar pathology of lumbar spine.
Major arthritis

The main arthritis is formed independently, i.e. there is no effect of any internal or external causes.Failure to develop slowly through clear cartilage.It is rarely diagnosed, accounting for only 3-5% of all cases.
Sub-joint joints
Secondary arthritis is most commonly detected in 95-96% of cases.They are caused by any of the above lesions.
Signs and symptoms of joints
The manifestations of the disease vary by location, and these signs are often reflected in the knees, shoulders, and hips due to high loads.
Most of the complaints come down to:
- pain.They are very low in the initial stages and the intensification of sensation is exacerbated.Initially, until you wake up, the joints will be injured and the feeling will disappear.As time goes by, the pain occurs at night, after prolonged walking, running, etc.In the final stage, pain syndrome has been chasing a person.
- Limited motion amplitude.The stiffness of the movement indicates anatomical changes in the structure.At first it manifests itself in the morning, and then the daily movements are limited.In order not to cause the condition to worsen, the work must be diverse and light, otherwise the patient will not be able to untickle and squeeze the limbs over time.As time goes by, there is a risk of signing a contract, and a person loses the athletic ability from it.
- Crown during exercise - It is a nonspecific manifestation of arthritis.The disease is characterized by the tightening feature in a single joint (except for polyarticity), accompanied by discomfort, pain, and limited effects.The properties of the current are wave-like - at first it appears weak and gradually strengthens, but disappears in 3 stages.
- Redness.It is located near the diseased joint, which indicates the inflammatory process and progression of the disease.Doctors know that the synovial shell is affected, which can cause fluid accumulation and increased pain.
Limb deformation.Appearing in the neglected form of this disease, it indicates the complete destruction of cartilage tissue and the emergence of bone plants.In this state, the pressure on the top and below the joints increases, and the curvature affects the entire limb.
It is important to remember that deformation of bones on the legs is often confused with corn.The symptoms are only dangerous at first glance, but they lead to serious consequences.
complication
Initially, conservative treatments were used for treatment.There is a risk of consequences if they are invalid or the patient ignores the doctor's advice.
Possible complications:
- The joints were completely destroyed;
- The limbs are fixed and any movement becomes extremely difficult.
- vertebral hernia;
- Disability;
- Strong deformation of joints or entire limbs.
Diagnosis of arthritis
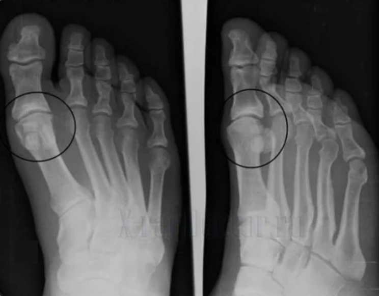
For diagnosis, rheumatologists studied the patient’s complaint and prescribed an X-ray.In most cases, X-rays are used for 2 predictions.Doctors focus on malnutrition in hyacinth cartilage and bone joints.If the joint space is reduced, the bone deformed or flattened, and there is a cystic formation on the surface of the cartilage, bone plants are a clear sign of arthritis.During the examination, arthritis indicates instability of the joints: the limbs and subluxed axes are disturbed.

Typically, X-ray images do not provide complete information about joint conditions.For more thorough research, computed tomography is prescribed to effectively examine bones.MRI is often used to study soft tissues.
During the diagnosis period, the participation of other experts is practiced and they will help determine the root cause of the pathology.Often resort to hematologists, endocrinologists, gynecologists, orthopedics.
Modern therapy
There are hundreds of ways to treat joints, but they all boil down to multiple methods:
- Drug treatment.The main task is to combat symptoms and prevent further development of violations.Analgesics are commonly used to relieve pain, non-replacement anti-inflammatory drugs act to fight inflammation, prescribe hormonal drugs for severe pain and acute inflammation.Each course is based on cartilage protectors that protect cartilage fabrics from damage and are used to produce natural substances.
- physiotherapy.Improve the effectiveness of drugs, fight inflammation, relieve symptoms, and accelerate tissue regeneration.Ultrasonic, electrical, magnetic laser treatment is most commonly used.This also includes mud baths, applications with natural materials, ra baths;
- Medical Sports.It can be useful as preventing and promoting the condition.After doing the right physical exercise, it is possible to completely eliminate the pain.It is useful to visit the pool, participate in yoga and walk frequently.
- Manual therapy, massage will help treat the disease as they help prevent the curvature of the joints.After the injury, the manual therapist was able to level the joint, thus preventing him from being in a fixed position.After massage, muscle tone will increase and blood circulation will be accelerated.
- Appropriate nutrition.A healthy diet will help enrich the body and lose weight with the nutrients of cartilage.A large mass increases joint wear;
- Nursing home measurements will strengthen joints.Within the framework of healing, nursing homes are provided, which can provide Balneotherapy, exercise therapy, physical therapy procedures, etc.
- Non-traditional therapy.To treat arthritis, cabins, natural, aph and herbal medicine as well as acupuncture and various folk recipes;
- Surgical intervention is the only way to restore routine life in the third stage of the disease.The worm allows you to replace the patient's cartilage with implants.The only downside of this operation is its high cost.One program is enough within 15-20 years.
Preventive measures
Therefore, joint diseases of the joints will not disturb in the elderly:
- Maintain a healthy lifestyle;
- Prevent strong loads;
- Observe diet;
- Eliminate bad habits;
- Do gymnastics every day;
- Follow weight.
Jointness is a dangerous disease that is much easier than curing it.With the timely searching for a doctor and following treatment rules, patients will be able to maintain a familiar lifestyle for a long time.Lack of treatment and self-treatment can cause the rapid exacerbation of the disease and ultimately lead to disability.























